Vitamin A Deficiency

Night Blindness:

Also known as Nyctalopia, night blindness is a condition making it difficult or impossible for one to see in relatively low light.

For more information, contact your ophthalmologist.

eyes

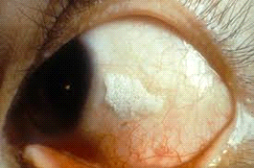
Bitot’s Spot:

It’s when shiny pearly spots of triangular shape appear on the conjunctiva. It happens especially among children due to buildup of keratins when they have severe vitamin A deficiency.

vit a

Xerophthalmia:

It is a progressive eye disease caused due to the deficiency of Vitamin A. It leads to abnormal dryness of the conjunctiva and cornea of the eye, with inflammation and ridge formation.